Ortopedik Travmalar ve Acil Cerrahi

Ortopedik Travmalar ve Acil Cerrahi Tedavisi - Doç. Dr. Zafer SOYDAN

Ortopedik Travmalar ve Acil Cerrahi

Ortopedik travmalar, kemikler, eklemler, ligamentler, tendonlar ve kaslar gibi kas-iskelet sisteminde meydana gelen yaralanmalardır. Bu tür travmalar genellikle trafik kazaları, iş yeri kazaları, spor yaralanmaları ve düşmeler gibi durumlarda ortaya çıkar. Doç. Dr. Zafer SOYDAN olarak, ortopedik travmaların tanı ve tedavisinde modern cerrahi tekniklerle hastalarımıza en yüksek kalitede hizmet sunmaktayız.

Ortopedik travmaların doğru ve hızlı tedavisi, hastanın yaşam kalitesini korumada kritik öneme sahiptir. Erken müdahale ve uygun cerrahi tekniklerle fonksiyonel iyileşme sağlanabilir.
Ortopedik Travmalar ve Acil Cerrahi Tedavisi - Doç. Dr. Zafer SOYDAN

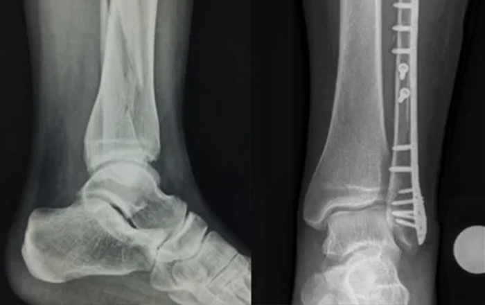
Ortopedik Travma Türleri

Ortopedik travmalar çok çeşitli olabilir ve her biri farklı tedavi yaklaşımları gerektirir:

  • Açık ve kapalı kemik kırıkları
  • Eklem çıkıkları
  • Ligament ve tendon yırtıkları
  • Kas zorlanmaları ve yırtıkları
  • Pelvis ve kalça kırıkları
  • Omurga travmaları
  • Üst ve alt ekstremite travmaları

Acil Cerrahi Müdahale

Acil ortopedik cerrahi, travmatik yaralanmaların hemen tedavi edilmesini gerektiren durumlarda uygulanır. Amacımız, hastanın fonksiyonel kaybını minimize ederek en kısa sürede günlük yaşantısına dönmesini sağlamaktır. Uyguladığımız modern cerrahi teknikler arasında:

  • Minimal invaziv cerrahi teknikleri
  • Artroskopik müdahaleler
  • İç ve dış fiksasyon sistemleri
  • Kemik ve tendon onarımı
  • Kompleks yara kapama teknikleri

Tedavi Yaklaşımlarımız

Her hasta ve yaralanma özelinde bireyselleştirilmiş tedavi planları oluşturuyoruz. Tedavi yaklaşımımız şu aşamalardan oluşur:

  • Hızlı Teşhis: Gelişmiş görüntüleme sistemleriyle doğru tanı
  • Acil Müdahale: Hayati risklerin giderilmesi ve acil cerrahi müdahale
  • Cerrahi Planlama: Minimal invaziv tekniklerle optimal tedavi planı
  • Rehabilitasyon: Fonksiyonel iyileşme için kapsamlı fizik tedavi programı
  • Takip: Uzun vadeli sonuçların değerlendirilmesi ve optimizasyonu