Kalça & Diz Protezleri

Kalça & Diz Protezleri

Kalça & Diz Protezleri

Kalça ve diz protezleri, ileri derecede eklem hastalıklarında kullanılan etkili tedavi yöntemleridir. Bu protezler sayesinde hastaların yaşam kalitesi büyük ölçüde artmakta ve normal aktivitelere dönüş sağlanmaktadır. Doç. Dr. Zafer SOYDAN olarak, kalça ve diz protezi cerrahisinde modern tekniklerle hastalarımıza en iyi hizmeti sunmaktayız.

Kalça ve diz protezleri, ileri derecede eklem hastalıklarında hastaların yaşam kalitesini geri kazanmalarını sağlayan altın standart tedavi yöntemleridir. Doğru hasta seçimi, uygun protez ve teknik ile uzun süreli başarılı sonuçlar elde edilebilir.
Protez Cerrahisi

Kalça Protezi (Total Kalça Artroplastisi)

Kalça protezi, kalça eklemi yüzeylerinin hasar gördüğü durumlarda uygulanan cerrahi tedavidir:

  • İleri derecede kalça osteoartriti
  • Kalça çıkığı sonrası artroz
  • Avascular nekroz (kemik ölümü)
  • Romatoid artrit
  • Post-travmatik artroz

Modern Kalça Protezi Sistemleri

  • Seramik-seramik yataklar
  • Metal-polietilen yataklar
  • Yüksek moleküler ağırlıklı polietilen
  • Çift mobilite protezleri
  • Minimal invaziv teknikler

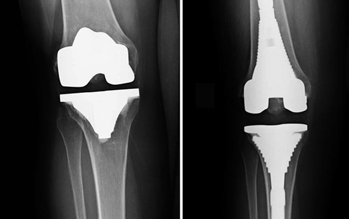
Diz Protezi (Total Diz Artroplastisi)

Diz protezi, diz eklemi yüzeylerinin hasar ettiği durumlarda uygulanan cerrahi tedavidir:

  • İleri derecede diz osteoartriti
  • Romatoid artrit
  • Post-travmatik artroz
  • Revizyon diz protezleri
  • Unikondilar protezler (kısmi diz protezi)

Gelişmiş Diz Protezi Teknolojileri

  • Kişiselleştirilmiş protezler
  • Robotik destekli cerrahi
  • Bilateral eş zamanlı protezler
  • Yüksek fleksiyon protezleri

Protez Cerrahisi Süreci

Protez cerrahisinde uyguladığımız detaylı süreç:

Preoperatif Dönem

  • Detaylı klinik değerlendirme
  • Radyolojik incelemeler (Radyografi, BT)
  • Anestezi konsültasyonu
  • Preoperatif hazırlık ve eğitim

Operatif Dönem

  • Minimal invaziv teknikler
  • Bilgisayar destekli cerrahi
  • Kan kaybının minimize edilmesi
  • Uygun implant seçimi

Postoperatif Dönem

  • Erken mobilizasyon
  • Fizik tedavi ve rehabilitasyon
  • Ağrı yönetimi
  • Düzenli takip ve değerlendirme

Başarı Faktörleri

Başarılı protez cerrahisi için önemli unsurlar:

  • Doğru hasta seçimi
  • Uygun protez ve teknik seçimi
  • Deneyimli cerrah ekibi
  • Gelişmiş postoperatif bakım
  • Hastanın aktif katılımı