Kırık & Çıkık Tedavisi

Kırık & Çıkık Tedavisi

Kırık & Çıkık Tedavisi

Kırık ve çıkık tedavisi, travmatolojinin temel konularından biridir. Kemik kırıkları ve eklem çıkıkları, günlük yaşamda sık karşılaşılan yaralanmalardır. Doç. Dr. Zafer SOYDAN olarak, bu tür yaralanmaların tanı ve tedavisinde modern yöntemlerle hastalarımıza en etkin hizmeti sunmaktayız.

Kırık ve çıkık tedavisinde erken tanı, uygun tedavi ve rehabilitasyon büyük önem taşır. Modern cerrahi teknikler ve rehabilitasyon programları ile hastalarımızın en kısa sürede normal yaşama dönmesini sağlıyoruz.
Kırık Çıkık Tedavisi

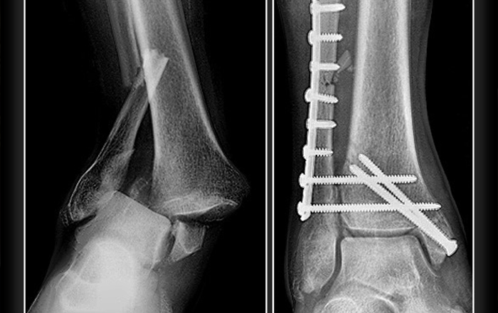
Kırık (Fraktür) Tedavisi

Kemik bütünlüğünün bozulmasına kırık denir. Kırıklar farklı şekillerde sınıflandırılabilir:

  • Basit (kapalı) kırıklar
  • Komplike (açık) kırıklar
  • Displase (yerinden çıkmış) kırıklar
  • Non-displase (yerinden çıkmamış) kırıklar
  • Spiral, oblik, transvers kırıklar
  • Komminüt (parçalı) kırıklar

Çıkık (Lüksasyon) Tedavisi

Eklem yüzeylerinin birbirinden ayrılmasıyla oluşan durumdur. En sık görülen çıkıklar:

  • Omuz çıkığı
  • Diz çıkığı
  • Parmak çıkıkları
  • Ayak bileği çıkığı
  • Kalça çıkığı

Tedavi Yöntemleri

Kırık ve çıkık tedavisinde kullanılan yöntemler şunlardır:

Koruyucu Tedavi (Konservatif)

  • Alçı ve ateller
  • Fonksiyonel ateller
  • Traksiyon tedavileri

Cerrahi Tedavi

  • Kapalı redüksiyon ve perkütan fiksasyon
  • Açık redüksiyon ve internal fiksasyon
  • Plaka-vit sistemleri
  • İntramedüller çiviler
  • External fiksasyon sistemleri

Modern Tedavi Yaklaşımlarımız

Kırık ve çıkık tedavisinde uyguladığımız modern yöntemler:

  • Minimal invaziv cerrahi teknikleri
  • Biyomekanik olarak uygun implantlar
  • Kişiselleştirilmiş tedavi planlaması
  • Erken mobilizasyon ve rehabilitasyon
  • Komplikasyonların önlenmesi

Tedavi Sonrası Takip ve Rehabilitasyon

Başarılı tedavi için önemli unsurlar:

  • Düzenli radyolojik kontroller
  • Fizik tedavi ve rehabilitasyon
  • Komplikasyonların erken saptanması
  • Psikolojik destek ve danışmanlık